Ελληνικά | English | Κυριακή, 5 Απριλίου 2026
Τσιρίδειον Ίδρυμα
Αναζήτηση:   |   Εξειδικευμένη Αναζήτηση   |   Επικοινωνία   |   Αρχική Σελίδα
Το Ίδρυμα
Το Μουσείο
Εκθέματα
Δραστηριότητες
Νέα
Δελτία Τύπου
Δημοσιεύματα
Διεθνή Νέα
Επιστημονικά Νέα
Αφιερώματα
Εκδόσεις
Πολυμέσα
Συνδέσεις
Ηλεκτρονική Λίστα
Κριτικές
Επικοινωνία

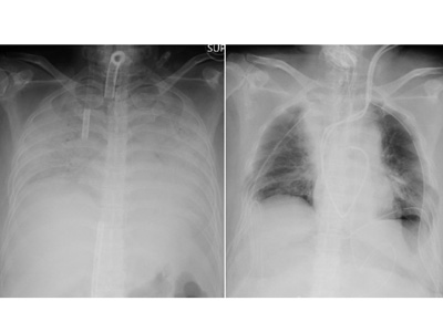
Ιαπωνία: Πρώτη μεταμόσχευση πνεύμονα από ζωντανό δότη σε ασθενή με κοροναϊό



Μία γυναίκα στην Ιαπωνία της οποίας οι πνεύμονες είχαν πάθει σοβαρή ζημιά από τον κοροναϊό, γίνεται σύμφωνα με τους θεράποντες ιατρούς ο πρώτος ασθενής κόσμο στον οποίο γίνεται μεταμόσχευση από ζωντανό δότη.

 

Όπως αναφέρει σε ανακοίνωσή του το Πανεπιστημιακό Νοσοκομείο του Κιότο η γυναίκα υποβλήθηκε σε εγχείρηση 11 ωρών από ιατρική ομάδα 30 ατόμων την Τετάρτη για μεταμόσχευση πνευμονικού ιστού από τον σύζυγο και τον γιο της.

 

Ο κοροναϊός είναι γνωστό ότι προκαλεί σοβαρή πνευμονική βλάβη σε ορισμένους ασθενείς και άνθρωποι σε όλο τον κόσμο – συμπεριλαμβανομένων των Ηνωμένων Πολιτειών – έχουν λάβει μεταμοσχεύσεις πνευμόνων ως μέρος της ανάνηψής τους από την ασθένεια.

 

Ωστόσο, το νοσοκομείο του Κιότο είπε ότι αυτή η περίπτωση ήταν η πρώτη στον κόσμο στην οποία μεταμοσχεύθηκε ιστός πνεύμονα από ζωντανούς δότες σε ασθενή Covid-19, όπως μεταδίδει το CNN.

 

Αχτίδα ελπίδας σε ασθενείς

Ο Δρ. Χιρόσι Ντέιτ, που ηγήθηκε της επέμβασης, δήλωσε ότι το συγκεκριμένο χειρουργείο δίνει νέες ελπίδες σε ασθενείς που έχουν πάθει σοβαρή βλάβη στους πνεύμονες από τον Covid-19.

 

«Αποδείξαμε ότι έχουμε τώρα μια επιπλέον επιλογή στην μεταμόσχευση πνευμόνων (από ζωντανούς δότες)», είπε σε συνέντευξη Τύπου την Πέμπτη.

 

Σύμφωνα με το Πανεπιστημιακό Νοσοκομείο του Κιότο, η ασθενής της οποίας το όνομα δεν έχει γίνει γνωστό, με καταγωγή από την επαρχία Κανσάι, νόσησε από κοροναϊό στα τέλη του 2020 και πέρασε τους επόμενους μήνες σε μηχανική υποστήριξη.

 

Ο κοροναΐός είχε κάνει τόσο μεγάλη ζημιά και στους δύο πνεύμονες που χρειαζόταν άμεσα μεταμόσχευση προκειμένου να ζήσει.

 

Ο σύζυγος και ο υιός της γυναίκας προσφέρθηκαν να δωρίσουν μέρη των πνευμόνων τους. Οι μεταμοσχεύσεις από εγκεφαλικά νεκρούς δότες εξακολουθούν να είναι σπάνιες στην Ιαπωνία και οι ζώντες δότες θεωρούνται καλύτερη επιλογή, σύμφωνα με τη δήλωση του νοσοκομείου.

 

Η υγεία τόσο του συζύγου όσο και του γιού είναι σταθερή ενώ η μητέρα νοσηλεύεται στην μονάδα εντατικής θεραπείας και αναμένεται να πάρει εξιτήριο σε περίπου δύο μήνες.



Πηγή: ΤΑ ΝΕΑ

14/04/2021

Νέα: - Επιστημονικά Νέα
»Το Νερό ως οικονομικός παράγοντας: Η στρατηγική μετάβαση στη βιώσιμη ανάπτυξη

17/03/2026

»Επανάσταση ή «γελοιότητα»; Τι λέει ο Economist για τα τροχιακά data center

17/03/2026

»Η NASA συναρμολογεί drone που θα εξερευνήσει τις εξωγήινες θάλασσες του Τιτάνα

17/03/2026

»Λύση στο μυστήριο των «υπέρλαμπρων σουπερνόβα»

17/03/2026

»Πλαστικά μπουκάλια μετατρέπονται σε φάρμακο για τη νόσο του Πάρκινσον

17/03/2026

»Κινέζοι ερευνητές υποστηρίζουν ότι δημιούργησαν το περιβόητο «εξαγωνικό διαμάντι»

17/03/2026

»Κατέκτησε την Ανταρκτική, τώρα θέλει το Διάστημα – Ο Αδριανός Γκολέμης είναι ο πρώτος έλληνας υποψήφιος αστροναύτης

17/03/2026

»Ρομπότ: Μπορεί τελικά να είναι η λύση για θέσεις εργασίας που κανείς δεν θέλει;

09/03/2026

»Η Μεσόγειος φλέγεται

09/03/2026

»Το μέλλον που φοβόμασταν είναι ήδη εδώ

09/03/2026

»Οι κορυφές των δέντρων εκπέμπουν λάμψεις στη διάρκεια καταιγίδων – Υπεριώδης κάμερα αποκαλύπτει

09/03/2026

»Υγροί κρύσταλλοι από οθόνες και κινητά ανιχνεύονται στα δελφίνια

09/03/2026

»Διαδηλώσεις στη Βρετανία για τις περιβαλλοντικές και κοινωνικές επιπτώσεις των data center

09/03/2026

»H ζωή ίσως πηδά από πλανήτη σε πλανήτη ως λαθρεπιβάτης μετεωριτών

09/03/2026

»«Αόρατος» γαλαξίας αποτελείται κατά 99,9% από σκοτεινή ύλη

09/03/2026

»Λευκή Βίβλος για τον καρκίνο: Οι καθυστερήσεις κοστίζουν ζωές

09/03/2026

»NASA: Αναθεωρεί την αποστολή Artemis για την επιστροφή στη Σελήνη, προσθέτοντας νέες δοκιμές στο Διάστημα

03/03/2026

»Ένα από τα μεγαλύτερα άστρα του Σύμπαντος ίσως ετοιμάζεται να εκραγεί

03/03/2026

»Εξωγήινοι: Πιθανοί, αλλά άφαντοι

03/03/2026

»Οι ΗΠΑ αποφασίζουν για δημιουργία βάσης στη Σελήνη και παράταση ζωής για τον ISS

03/03/2026